Decoding Ischemic Stroke CT Scans: A Visual Guide

F.Glencoesoftware 0 views
Decoding Ischemic Stroke CT Scans: A Visual Guide

Decoding Ischemic Stroke CT Scans: A Visual Guide We’re going to dive deep into ischemic stroke CT scan images , understanding what they show, why they’re so critical, and how healthcare pros use them to make lightning-fast decisions. When someone has a stroke , every single second counts, guys. The brain is literally running out of oxygen, and identifying the type of stroke quickly is paramount. While there are different types of strokes, ischemic stroke is the most common, accounting for about 87% of all cases. This happens when a blood clot blocks an artery supplying blood to the brain. To figure out if it’s an ischemic stroke and not, say, a hemorrhagic stroke (which is a bleed in the brain and requires entirely different treatment), doctors often turn to a CT scan as their first line of defense. This article isn’t meant to make you a radiologist overnight, but it will give you a much clearer picture of what medical professionals are looking for when they review those crucial images. We’ll break down the subtle signs, the obvious changes, and why understanding these scans is literally a matter of life and death for patients. So, let’s get started and demystify the world of ischemic stroke CT scan images .

Understanding Ischemic Stroke: A Quick Primer

Alright, before we get into the nitty-gritty of ischemic stroke CT scan images , let’s quickly establish what an ischemic stroke actually is. Imagine your brain as a super-high-tech city that needs a constant supply of electricity to function – in this case, that electricity is oxygen and nutrients, delivered by blood. An ischemic stroke occurs when one of the main “power lines” (an artery) gets blocked, usually by a blood clot. This blockage cuts off the blood supply to a part of the brain, leading to cell damage and, if not quickly resolved, cell death. This process is called ischemia . The area directly affected by the lack of blood flow is known as the infarct core , and around it, there’s often a region called the ischemic penumbra . This penumbra is brain tissue that’s still viable but at risk; it’s the tissue we desperately try to save! Understanding this distinction is crucial because modern stroke treatments, like thrombolysis (medication to dissolve clots) or mechanical thrombectomy (physically removing the clot), are aimed at restoring blood flow to this salvageable penumbra before it, too, becomes permanently damaged.

The causes of ischemic stroke are varied, but often include atherosclerosis , where plaque builds up in arteries and can lead to clot formation, or cardioembolic stroke , where a clot forms in the heart (often due to conditions like atrial fibrillation) and travels to the brain. Recognizing the symptoms of a stroke is incredibly important, and we often use the acronym FAST : Face drooping , Arm weakness , Speech difficulty , Time to call emergency services . These symptoms pop up suddenly because the brain tissue is suddenly starved. The severity and specific symptoms depend entirely on which part of the brain is affected. For instance, a stroke affecting the motor cortex might cause paralysis, while one in the language centers could lead to aphasia (difficulty speaking or understanding). This immediate onset of neurological deficits is what often prompts the urgent trip to the emergency room, setting off the race against time where ischemic stroke CT scan images become the absolute star. Without quickly confirming the stroke type and location, doctors can’t begin effective treatment, which, as we’ll see, is incredibly time-sensitive. So, guys, knowing what an ischemic stroke is and what its basic mechanisms are truly helps in appreciating why those CT images are so, so vital in the immediate aftermath of a suspected stroke.

The Role of CT Scans in Acute Ischemic Stroke

When someone rushes into the emergency department with suspected stroke symptoms , the very first imaging test they’ll likely get, hands down, is a non-contrast head CT scan . Why, you ask? Because, guys, speed is of the essence, and CT scans are fast , readily available in most hospitals, and excel at ruling out the worst-case scenario – a hemorrhagic stroke . Remember how we talked about ischemic stroke being a blockage? Well, a hemorrhagic stroke is a bleed, where a blood vessel bursts in the brain. Giving clot-busting medication (like tPA) to someone with a brain bleed would be catastrophic, making the bleeding much, much worse. So, the primary goal of that initial CT scan is to rapidly differentiate between these two types of strokes. If the CT scan shows no signs of hemorrhage , then the pathway opens up for ischemic stroke treatments. It’s like a crucial fork in the road, and the CT scan points the way.

Now, here’s a critical point about ischemic stroke CT scan images in the acute phase (meaning, right after the stroke starts): early ischemic changes can be incredibly subtle, or even non-existent , on a standard non-contrast CT scan for the first few hours. This can be super confusing for folks who expect a clear “stroke” visible right away. In the very first hour or two, the brain tissue often looks perfectly normal on CT, even though it’s dying! This phenomenon is why clinical presentation (the patient’s symptoms) is so vital alongside the imaging. However, as time passes, typically within 3 to 6 hours, more definite signs of ischemia begin to appear. The radiologist is looking for these early signs of ischemic stroke with a trained eye, even if they are faint. The absence of hemorrhage, coupled with the clinical picture, is often enough to initiate thrombolytic therapy (like tPA) within the crucial treatment window , which is typically within 4.5 hours of symptom onset for tPA, and up to 24 hours for mechanical thrombectomy in select cases. This entire process highlights the incredibly high stakes involved. The CT scan isn’t just a diagnostic tool; it’s a critical decision-making instrument that guides urgent, potentially life-saving interventions, making every detail on those ischemic stroke CT scan images profoundly important. The ability to quickly and accurately interpret these scans dictates whether a patient receives timely treatment that could literally prevent permanent disability or even save their life. So, when doctors are pouring over those images, they’re not just looking at pictures; they’re making rapid judgments about brain viability and treatment eligibility.

Decoding Ischemic Stroke CT Scan Images: Early Signs

Alright, let’s get into the heart of it – what do we actually see on ischemic stroke CT scan images , especially in those crucial early hours? While we mentioned that initial scans can sometimes look normal, there are several subtle, early signs that experienced radiologists and neurologists are actively looking for. Spotting these can be the difference between quick treatment and delayed intervention, so pay attention, guys!

One of the earliest and most important CT signs of acute ischemic stroke is the dense middle cerebral artery (MCA) sign . This one is pretty cool, actually. Normally, blood vessels on a non-contrast CT aren’t super bright. But if a large clot is stuck in the MCA (which is one of the main arteries supplying blood to the brain), the clot itself, being denser than flowing blood, can appear hyperdense or brighter than the normal artery on the scan. It looks like a bright white line within the sylvian fissure or along the course of the MCA. Seeing a dense MCA sign is a strong indicator of a large vessel occlusion and usually means a significant ischemic stroke is underway. It’s an urgent red flag telling clinicians, “Hey, there’s a big blockage here, and we need to act fast!”

Another key early indicator on ischemic stroke CT scan images is sulcal effacement . What are sulci? They’re those grooves or “valleys” on the surface of your brain. When brain tissue starts to swell due to ischemia (lack of blood flow), these grooves can get pushed in and appear flattened or even disappear in the affected area. Think of it like a deflated balloon re-inflating; the wrinkles smooth out. Focal sulcal effacement signifies swelling and edema within the brain tissue, indicating that ischemic injury is progressing. It’s often seen in the insular ribbon area, which brings us to our next sign.

The insular ribbon sign , or rather, the loss of the insular ribbon sign , is another subtle but critical finding. The insula is a part of the brain located deep within the sylvian fissure, and its cortex (the outer layer) normally appears as a distinct, bright “ribbon” due to its specific density. In the early stages of an ischemic stroke , especially one affecting the MCA territory, the gray matter of the insular cortex can become edematous (swollen) and lose its normal distinct appearance. It becomes hypodense (darker) and indistinct, blending in with the surrounding white matter. This loss of gray-white differentiation is a classic early ischemic change and is often one of the first visible signs that the delicate brain tissue is being starved of oxygen.

Finally, a more generalized sign is the loss of gray-white matter differentiation . Normally, on a CT scan, you can clearly distinguish between the gray matter (where nerve cell bodies are concentrated, forming the brain’s outer cortex and deep nuclei) and the white matter (composed of nerve fibers, which appears slightly darker). In the early stages of an ischemic stroke , as brain cells swell and lose their structural integrity, this distinct boundary blur. The affected gray matter starts to look less dense, more like the white matter , making it harder to tell them apart. This blurring or effacement of the gray-white junction is a direct consequence of cytotoxic edema, where cells swell and lose water regulation, an early sign of irreversible damage. These ischemic stroke CT scan images are challenging to interpret, but recognizing these subtle cues is paramount for effective, time-sensitive stroke management. The skill required to identify these early changes really highlights the expertise of the medical professionals involved in stroke care, as every tiny hint on the scan contributes to a bigger picture that can literally save brain function.

Later Signs of Ischemic Stroke on CT

While catching ischemic stroke in its earliest stages is the gold standard, sometimes patients present later, or their initial CT was negative, and subsequent scans show more pronounced changes. So, what do ischemic stroke CT scan images look like as the stroke evolves from acute to subacute and chronic phases? The signs become much more obvious, guys, and reflect the progressive brain damage.

The most characteristic later sign is the development of a well-demarcated hypodensity in the affected brain region. “Hypodense” simply means it appears darker than the surrounding healthy brain tissue on the CT scan. This hypodense area represents the actual infarct – the area of brain tissue that has died due to the prolonged lack of blood flow. As the brain cells break down, their water content increases, and they lose their normal density, resulting in this darker appearance. The size and shape of this hypodensity directly correspond to the territory of the blocked artery. For instance, an MCA stroke will typically show a wedge-shaped or triangular area of hypodensity within the MCA distribution. This hypodense lesion is a clear, undeniable fingerprint of a past ischemic event .

As the ischemic stroke progresses and the dead tissue swells, it can sometimes exert a mass effect on the surrounding structures. This means the swollen brain tissue can push on or displace other parts of the brain, like the ventricles (fluid-filled spaces) or the midline structures (like the falx cerebri, which separates the brain hemispheres). If you see a shift of these structures on ischemic stroke CT scan images , it indicates significant cerebral edema and can be a serious finding, as it can increase intracranial pressure and lead to further brain damage or herniation. While early edema can cause sulcal effacement , more severe edema leads to actual mass effect .

In some cases, especially in the subacute phase (days to weeks after the stroke), you might observe gyral enhancement if a contrast agent is used. Normally, the blood-brain barrier prevents contrast from entering healthy brain tissue. However, after an ischemic stroke , the blood-brain barrier can be disrupted in the affected area. When intravenous contrast is administered, it can leak into the damaged brain tissue, causing the gyri (the “ridges” of the brain) to light up or “enhance” on the scan. This is usually a sign of subacute infarction and inflammation. It’s not typically seen in the very acute phase but becomes visible as the healing and inflammatory processes kick in.

In the chronic phase (months to years after the stroke), the ischemic stroke CT scan images will show a clearly defined area of encephalomalacia – essentially, brain tissue loss. The previously hypodense area might become even darker and sometimes develops cavitation , looking like a fluid-filled cavity. The brain often tries to “clean up” the dead tissue, and this process can lead to atrophy (shrinking) in the affected region. You might also see ex-vacuo hydrocephalus , where the ventricles expand to fill the space left by the lost brain tissue, rather than due to increased pressure. Calcifications can also sometimes be seen in chronic infarcts, though less common. Understanding these evolving appearances on ischemic stroke CT scan images helps clinicians not only diagnose a stroke but also determine its age, which is crucial for prognosis and rehabilitation planning. These changes serve as a permanent record of the brain’s ordeal, visible for anyone who knows how to look.

Beyond the Basics: What Else to Look For

Okay, so we’ve covered the core ischemic stroke CT scan images findings, both early and late. But modern stroke imaging often goes a step further, providing even more critical information. While a standard non-contrast CT is great for ruling out hemorrhage and spotting early ischemic changes , combining it with other CT-based techniques can give a much more comprehensive picture of the ischemic penumbra and potential for recovery.

One extremely important adjunct is CT Angiography (CTA) . After the initial non-contrast CT, if an ischemic stroke is suspected and the patient is a candidate for acute treatment, a CTA is often performed immediately. Guys, this is where we get to see the blood vessels themselves! With CTA, a contrast dye is injected, and the CT machine takes images as the dye flows through the arteries supplying the brain. This allows doctors to directly visualize the blood vessels and, crucially, identify the exact location of a large vessel occlusion (LVO) – a big clot blocking a major artery. Knowing the precise location of an LVO is absolutely vital for guiding mechanical thrombectomy , a procedure where specialists physically remove the clot. If you see a sudden “cutoff” of the contrast flow in an artery on the CTA, that’s your LVO, a clear sign on ischemic stroke CT scan images (specifically CTA) that a clot is present and intervention is likely needed.

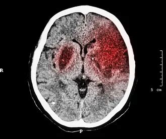
Another advanced technique is CT Perfusion (CTP) . This takes things even deeper by assessing blood flow dynamics. CTP involves injecting contrast and taking rapid-sequence images to measure various parameters like cerebral blood flow (CBF), cerebral blood volume (CBV), and mean transit time (MTT). This allows radiologists to map out areas of critically low blood flow (the infarct core ) versus areas that are salvageable but hypoperfused (the ischemic penumbra ). Imagine seeing a map where one region is completely red (dead) and another is yellow (struggling but savable). This penumbral imaging is a game-changer because it helps extend the treatment window for mechanical thrombectomy in some patients, allowing treatment even hours after symptom onset if a significant amount of penumbra is identified. These advanced ischemic stroke CT scan images provide incredibly detailed information that helps clinicians make highly individualized treatment decisions, moving beyond a simple “stroke or no stroke” to a “how much brain can we save?” approach. Differentiating between the core and the penumbra is key to determining who benefits most from aggressive interventional therapies.

Beyond these, radiologists also need to consider other conditions that might mimic stroke , like seizures, migraines, or even brain tumors. While ischemic stroke CT scan images have distinct features, ruling out other pathologies is always part of the diagnostic process. Sometimes, a stroke might also be complicated by hemorrhagic transformation , where the ischemic area starts to bleed – another critical finding that changes management. So, it’s not just about finding the stroke, but understanding its context and potential complications.

The Importance of Rapid Interpretation and Decision-Making

Guys, we’ve talked a lot about what to look for on ischemic stroke CT scan images , but let’s be real: all this information is utterly useless without rapid interpretation and decisive action . In the world of stroke care, the mantra is “time is brain.” Every minute that passes with a blocked artery means more brain cells are dying, potentially leading to more severe disability or even death. This is why the entire stroke care pathway is designed for unparalleled speed.

From the moment a patient with stroke symptoms arrives at the emergency room, there’s a frantic race against the clock. The CT scan is ordered immediately, often within minutes of arrival. Radiologists, or emergency physicians trained in stroke imaging, must interpret those ischemic stroke CT scan images almost instantly. They’re looking for those subtle early signs, and most importantly, they’re ensuring there’s no hemorrhage . A quick “no bleed” call from the radiologist is the green light for neurologists to consider thrombolytic therapy like intravenous tPA (tissue plasminogen activator). This clot-busting drug needs to be administered within a very narrow window, typically 4.5 hours from the last known well time, because after that, the risks often outweigh the benefits.

If there are signs of a large vessel occlusion on the CT angiography (CTA), then the decision-making pivots towards mechanical thrombectomy . This procedure, where a neurointerventionalist uses specialized tools to physically extract the clot, can be performed in a broader time window, sometimes up to 24 hours in select patients who show a significant ischemic penumbra on advanced imaging like CT perfusion . But even then, the sooner, the better. The ischemic stroke CT scan images directly inform these critical treatment choices. They help determine not just if a patient is eligible for a particular treatment, but also which treatment is most appropriate, given the extent of brain damage and the amount of salvageable tissue.

The coordination required among EMS, emergency physicians, neurologists, radiologists, and neurointerventionalists is incredible. It’s a team effort where timely and accurate interpretation of ischemic stroke CT scan images is the linchpin. A delay of even 15 or 30 minutes can translate into significantly worse outcomes for the patient. This highlights why continuous education, simulation, and robust protocols are so vital in stroke centers globally. Understanding these images isn’t just an academic exercise; it’s a practical skill with profound implications for human health and recovery. The ability to make these critical decisions under immense pressure underscores the incredible expertise demanded from medical professionals in the acute stroke setting.

Key Takeaways for Understanding Ischemic Stroke CT Scans

So, guys, we’ve covered a ton of ground today on ischemic stroke CT scan images , and hopefully, you now have a much clearer understanding of their vital role in diagnosing and managing stroke. Let’s quickly recap the main points:

  • Speed is Paramount : CT scans are the first-line imaging tool in suspected stroke because they are fast and effectively rule out hemorrhagic stroke , which is crucial before administering clot-busting drugs.
  • Early Signs are Subtle : Don’t expect dramatic changes immediately. Dense MCA sign , sulcal effacement , and loss of gray-white differentiation are crucial early indicators of ischemic stroke on non-contrast CT.
  • Later Changes are Clearer : Over time, hypodensity (dark areas), mass effect , and potentially gyral enhancement with contrast become evident, signifying brain tissue death and edema.
  • Advanced Imaging Adds Depth : CT Angiography (CTA) helps locate large vessel occlusions , while CT Perfusion (CTP) identifies the ischemic penumbra (salvageable brain tissue), guiding advanced treatments like mechanical thrombectomy .
  • Time is Brain : Rapid interpretation and decisive action based on ischemic stroke CT scan images are essential. Every minute saved can prevent irreversible brain damage and improve patient outcomes.

Understanding these images isn’t just for medical professionals; it helps everyone appreciate the complexity and urgency of stroke care. While this article provides a comprehensive overview, remember that interpreting these complex ischemic stroke CT scan images requires extensive training and expertise. Always consult with qualified medical professionals for diagnosis and treatment of any medical condition. We hope this guide has demystified a critical aspect of stroke diagnosis and given you valuable insight into how doctors battle against time to save lives and brain function.